ترمیم دندان

دکتر هیمن ادبی

شاید باورتان نشود ولی اگر دندان خود را از دست داده باشید راه‌هایی برای بازیابی آنها بجر ایمپلنت وجود دارد که معمولاً عموم مردم از انجام این روش‌ها ناآگاه هستند و متاسفانه صرفاً فکر می‌کنند برای بازیابی دندان از دست رفته تنها روش ایمپلنت است و از آنجائیکه همه اقشار تمایل به انجام ایمپلنت ندارند بسیاری افراد از داشتن دندان محروم می‌مانند و به ندرت لبخند می‌زنند در نهایت احتمال افسردگی برای این دسته از مردم وجود دارد. از طرفی برخی دندانپزشکان به دلیل عدم توانایی در انجام درمانی غیر از ایمپلنت، اصولاً فقط پیشنهاد ایمپلنت را به بیمار می‌دهند و احتمال دارد بیمار به هیچ عنوان از روش‌های دیگر مطلع نشود لذا در این بخش قصد داریم شما را با تمام روش‌های جایگزینی دندان از دست رفته آشنا کنیم. پس مطالب را دنبال کنید تا با تمام روش‌ها آشنا شوید...

راه‌هایی غیر از ایمپلنت برای جایگزینی دندان از دست رفته

برای جایگزینی دندان‌های بدون ریشه از روش FRC و یا FLIPPER استفاده می‌شود در روش FRC با استفاده از کامپوزیت‌های تقویت شده و تجهیزات مخصوص، دندان غایب بصورت ثابت جایگزین می‌گردد که شبیه دندان اصلی است. در روش FLIPPER دندان غایب به صورت پروتز متحرک ساخته می‌شود. به توصیه پزشکان بهتر است برای دندانهای جلو به روش FRC ترمیم گردد تا دندان ساخته شده ثابت و مشابه دندان‌های مجاور باشد. روش اف آر سی برای دندانهای آسیابی که مسئولیت جویدن را به عهده دارند مناسب نیست لذا برای دندانهای انتهایی که ریشه ندارند فلیپر توصیه می‌گردد.

جایگزینی دندان‌های بدون ریشه 

عصب کشی دندان چیست
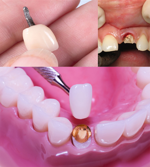
در این زمان از پین یا پست استفاده می‌شود پین‌‎ها داخل مطب موجود هستند و پست ها در لابراتوآرها ساخته می‌شوند. در هر دو روش دندانپزشک پین و یا پست را داخل ریشه با چسب مخصوص قرار می‌دهد و محکم می‌کند. پس از این کار وقت ساختن دندان با کامپوزیت و یا آمالگام (ماده نقره‌ای رنگی که دندان‌ها را با آن پر می‌کنند) دور پین یا پست است که به آن بیلدآپ گفته می‌شود. بعد از این مرحله به تشخیص دندانپزشک و علاقه بیمار به انجام کار زیبایی روی بیلدآپ، روکش قرار می‌گیرد. برای دندانهای جلو از روکش ZIRCONIA و برای دندانهای عقب از روکش PFM استفاده می‌شود. این دندانها از نظر زیبایی و استحکام دقیقاً مشابه دندان اصلی می‌باشند.

جایگزینی دندان‌های دارای ریشه

ترمیم و عصب کشی دندان
وقتی یک دندان خراب می‌شود و ترمیم دیر اتفاق می‌افتد، بخش زیادی از دندان تخریب می‌شود و تغییر رنگ می‌دهد. زمانیکه این دندان با مواد کامپوزیتی و یا آمالگام توسط دندانپزشک ترمیم شود از نظر دوام، قدرت کافی را ندارد و اگر دندان مربوط به بخشهای جلویی دهان باشد زیبایی و درخشندگی لازم را نخواهد داشت. در این زمان روکش ها نقش اساسی خود را ایفا می‌کنند. روکشهای زیرکونیا بسیار زیبا و درخشنده هستند و برای دندانهای جلویی کاربرد دارد و روکش های پی اف ام قوی با دوام می‌باشند که معمولاً برای دندانهای عقب استفاده می‌گردد. روکش ها پس از قالبگیری توسط دندانپزشک در لابراتوآر ساخته می‌شوند و مجددا توسط دندانپزشک روی دندان ترمیم شده قرار می‌گیرد.

روکش های زیرکونیا و پی اف ام

ترمیم و عصب کشی دندان
ترمیم دندان

عصب کشی

عصب کشی دندان اصطلاحی عامیانه است که برای عبارت تخصصی اندو ریشه(درمان ریشه) استفاده می‌شود. این روزها با توجه به رژیم غذایی نادرست و مواد قندی و دخانیاتی از جمله سیگار که در زندگی روزمره خود با آن‌ها بسیار سر و کار داریم، با اصطلاحات عصب کشی دندان و پر کردن دندان غریبه نیستیم. چرا که این دو عامل بزرگ یعنی مواد قندی و فراوری شده و مصرف دخانیات در کنار رعایت نکردن بهداشت تأثیر بسزایی در پوسیدگی دندان‌ها دارند. پوسیدگی‌هایی که در صورت عدم رسیدگی عمیق شده و کار دندان را به عصب کشی یا اندو ریشه می‌رسانند.
مانند اکثر درمان‌های دندانپزشکی، عصب کشی دندان نیز کار بسیار ظریفی است که باید توسط متخصص آن انجام شود. فرایند پر کردن دندان که پس از عصب کشی انجام می‌شود، باید با ظرافت بالا انجام گردد تا مشکلات ثانویه برای بیمار پیش نیاید. با توجه به ظرافتی که برای این نوع درمان وجود دارد، سؤالات و نگرانی بیماران نیز برای انجام عصب کشی دندان کم نیست. سوالاتی از جمله اینکه عصب کشی دندان به صورت اصولی چگونه انجام می‌شود؟ هزینه عصب کشی دندان چقدر است؟ برای پر کردن دندان پس از عصب کشی از چه موادی باید استفاده کرد؟ مراحل عصب کشی دندان چگونه است و چقدر زمان می‌برد؟ همگی ذهن بیمار را درگیر می‌کنند. از این رو ما قصد داریم در ادامه این مطلب با پاسخ به این سؤالات نگرانی‌های بیماران در این مورد را برطرف کنیم.

4825494 - 0933

88015766 - 021

عصب کشی دندان درمانی است که بر روی ریشه دندان‌هایی با پوسیدگی‌های عمیق انجام می‌شود. هنگامی که دندان‌ها به هر دلیلی شروع به پوسیدگی می‌کنند، در ابتدا تغییر رنگی بر روی مینای دندان ایجاد می‌شود. در این مرحله اگر با رعایت بهداشت دهان از این دندان مراقبت شود پوسیدگی پیشرفت نخواهد کرد. اما در صورت بی‌توجهی به پوسیدگی دندان، پیشرفت خواهد کرد و به ریشه یا همان کانال دندان خواهد رسید. در این مرحله از پوسیدگی دندان، دندان شما نسبت به هر ماده غذایی از جمله آب سرد یا گرم، غذای شیرین یا ترش و... واکنش شدید نشان خواهد داد. در این مرحله شما همیشه دچار دندان درد و یا تیر کشیدن دندان خود هستید. عصب کشی دندان فرآیندی است که در این مرحله از پوسیدگی عمیق شما را از درد نجات می‌دهد. ضمناً اگر عصب کشی انجام نشود درنهایت فرد مجبور به کشیدن دندان است.

عصب کشی دندان چیست ؟

عصب کشی دندان چیست

عصب کشی دندان چگونه انجام می شود؟

عصب کشی دندان یا همان درمان ریشه توسط دندان پزشک در چند مرحله انجام می‌شود. در مرحله اول پس از مراجعه به دندانپزشک، تاریخچه بیمار و عکس رادیوگرافی دندان توسط دندانپزشک بررسی می‌شود. پس از آن دندانپزشک با تزریق بی حسی دندان پوسیده را مورد بررسی قرار می‌دهد تا اگر پالپ دندان زنده و قابل‌ترمیم بود، ترمیم شود.
از اینجا به بعد کار اصلی دندانپزشک برای عصب کشی دندان یا درمان ریشه آغاز می‌شود. به این صورت که دندان به صورت عمودی تراش داده می‌شود تا به کانال‌های ریشه دندان برسد. سپس دندانپزشک با اجسام سوزنی شکلی به اسم فایل کانال‌های ریشه را از رگ‌های خونی و بافت‌های مختلف تمیز می‌کند. (یک دندان ممکن است یک یا چند کانال داشته باشد). در این مرحله باید از فایل‌هایی با صخامت های مختلف استفاده شود تا هم کانال‌ها به خوبی تمیز شوند و هم برای مرحله پر کردن دندان شکل درستی به خود بگیرند. این مرحله یکی از حساس‌ترین مراحل عصب کشی دندان است. زیرا در صورت غیر متخصص بودن دندانپزشک ممکن است آسیب‌های جبران ناپذیری به دندان وارد شود.
پس از تمیز کردن کانال‌های ریشه دندان، نوبت به پر کردن دندان می‌رسد. در این مرحله کانال‌های دندان با موادی به نام گوتا پر می‌شود. این کار برای جلوگیری از نفوذ باکتری‌ها به درون ریشه دندان انجام می‌شود. پس از انجام این مرحله نیز حتماً باید عکس رادیوگرافی گرفته شود. در موارد معدودی که دندان بسیار ضعیف باشد برای جلوگیری از شکستن دندان هنگام جویدن، به همراه گوتا از اجسام فلزی برای پر کردن دندان استفاده می‌شود. نوع فایلی که برای تمیز کردن دندان استفاده می‌شود اهمیت بسیار زیادی دارد. زیرا اگر جنس فایل مرغوب نباشد، ممکن است درون دندان بشکند و خسارات بدی را به بار بیاورد. آخرین مرحله عصب کشی دندان پانسمان و ترمیم تاج است.

ترمیم دندان
بسیاری از بیماران پس از مراجعه به دندانپزشک و انجام درمان عصب کشی دائم نگران ظاهر نهایی دندان خود هستند. به همین دلیل نیز این سؤال که کدام ماده برای پر کردن دندان و ترمیم تاج دندان بهترین انتخاب است؟ همیشه بیماران را سردرگم می‌کند.
در جواب به این سؤال باید گفت بهترین ماده برای پر کردن دندان را شرایط خود بیمار تعیین می‌کند. وجود حساسیت در بیمار به ماده‌ای خاص، وسعت پوسیدگی و خرابی تاج، موقعیت دندان پوسیده و قیمت مواد مختلف، از جمله عوامل تعیین کننده هستند. با این حال یک دندانپزشک باتجربه و متخصص در نهایت می‌تواند بهترین را برای بیمار خود تشخیص دهد. در ادامه به پر استفاده ترین مواد برای پرکردگی دندان اشاره می‌کنیم.
آمالگام: این ماده آلیاژی از چند فلز است که بخش اعظم آن را جیوه تشکیل می‌دهد. سایر فلزات موجود در این آلیاژ قلع، مس، روی و نقره هستند. آمالگام بیش از یک قرن است که برای پرکردن دندان استفاده می‌شود و از مقاومت نسبتاً خوبی برخوردار است. اما نکته‌ای که در استفاده از این ماده آزاردهنده است تغییر رنگ آن است. آمالگام پس از مدتی از نقره‌ای به سیاه تبدیل می‌شود.
کامپوزیت: از نظر تطابق رنگ با دندان، کامپوزیت انتخاب خوبی است. زیرا این ماده هم پای دندان در طول زمان تغییر رنگ می‌دهد و ظاهر طبیعی‌تری به دندان می‌دهد. اما در استفاده از کامپوزیت برای پر کردن دندان پس از عصب کشی دندان باید به این نکته دقت کرد که این ماده مقاومت زیادی در برابر جویدن مواد سفت ندارد و ممکن است بشکند. از این رو دندانپزشک متخصص معمولاً در صورت درخواست بیمار از این ماده تنها برای دندان‌های وسطی و یا جلویی که فشار زیادی را در هنگام جویدن متحمل نمی‌شوند، استفاده می‌کند.
سرامیک یا پرسلن: سرامیک که برای لمینیت دندان نیز استفاده می‌شود، پرطرفدارترین ماده برای پر کردن دندان است. زیرا این ماده هم از مقاومت بالایی برخوردار است و هم رنگ خوبی دارد. اگر بخواهید برای پر کردن دندان‌های آسیای خلفی بهترین ماده را انتخاب کنید همین سرامیک است. البته نوع سرامیک و مرغوبیت آن نیز شرط است.
بهترین مواد برای پر کردن دندان و ترمیم تاج چیست؟
پرکردن دندان
از آنجا که دندان‌هایی که عصب کشی می‌شوند دچار پوسیدگی‌های بسیار عمیق هستند، پس از درمان ریشه نیز این دندان‌ها بسیار حساس و شکننده هستند. البته میزان مقاومت دندان پس از درمان ریشه تا حد زیادی به مقاومت مواد استفاده شده بستگی دارد. اما در هر صورت دندان کمی شکننده خواهد بود. از این رو نیاز است که از این دندان‌ها تا مدتی مراقبت کرد تا دوباره قوای خود را به دست آورند. در این راستا بهتر است موارد زیرا را پس از انجام عصب کشی دندان رعایت کنید.
1.اگر دندان عصب کشی شده جزو دندان‌های آسیاب خلفی است، بهتر است تا یک هفته از خوردن و جویدن مواد غذایی سفت خودداری کنید.
2.کمی درد پس از عصب کشی دندان طبیعی است و با تجویز مسکن توسط دندانپزشک برطرف خواهد شد.
3.اگر از بی حسی زیادی در طول درمان استفاده شده، بهتر است تا برطرف شدن بی حسی صبر کنید و چیزی نخورید. زیرا ممکن است زبان یا گونه خود را گاز بگیرید.
4.بعد از عصب کشی دندان بهداشت دهان و دندان خود را با حساسیت بیشتری رعایت کنید. حتماً نخ دندان بکشید تا بین دندان‌هایتان کاملاً تمیز شود.
پس از عصب کشی دندان چه مراقبت‌هایی لازم است؟
عصب کشی دندان چگونه انجام می شود
آیا عصب کشی دندان درد دارد؟
درمان ریشه یا عصب کشی دندان در واقع برای از بین بردن کامل درد دندان انجام می‌شود. بنابراین پس از عصب کشی دندان و گذراندن دوره نقاهت آن بیمار هیچگونه دردی نخواهد داشت. در صورتی که پس از عصب کشی بازهم دچار دردهای مزمن شدید، بهتر است به دندانپزشک متخصص اندو ریشه مراجعه کنید.
در مواردی که دندانپزشک عمومی و یا متخصص زیبایی باشد، ممکن است در طول انجام عصب کشی و دقیق نبودن پزشک، بیمار درد خفیفی را تجربه کند. اما نکته مهم این است که در صورت نداشتن تخصص و تجربه کافی دندانپزشک ممکن است به طور کلی عصب کشی با موفقیت انجام نشده و بیمار دچار مشکلات بعدی شود. از این رو استفاده از تکنیک‌های بی حسی و چیره دست بودن و تجربه بالای پزشک اهمیت بسیاری در عصب کشی دندان دارد.
عصب کشی درد دارد

ثبت

اطلاعات شما با موفقیت ثبت شد. همکاران ما در اولین فرصت با شما تماس خواهند گرفت.

فرم دریافت مشاوره رایگان

با تکمیل فرم زیر همکاران ما در اولین فرصت با شما تماس گرفته و راهنمایی های لازم را به شما ارائه خواهند داد.

سبد خرید